Fractura de Tibia y/o Peroné

¿Cuánto paga la ART por fractura de tibia y/o peroné?
Calculalo acá¿Cuánto paga la ART por una fractura de tibia y/o peroné?
Para determinar cuánto puede pagar la ART por una fractura de tibia y/o peroné, es importante identificar si la lesión afecta a uno o ambos huesos. El nivel de indemnización dependerá del tipo de fractura, la consolidación de los huesos y si existen complicaciones como afectación nerviosa o pseudoartrosis. Estos factores influyen directamente en el porcentaje de incapacidad que se otorgue.
Debido a la complejidad de estos casos, siempre es recomendable contar con el asesoramiento de un abogado especializado en accidentes laborales, quien, junto con un equipo médico, puede garantizar que la incapacidad sea correctamente evaluada y la indemnización refleje las secuelas reales de la lesión.
¿Cómo ocurre una fractura de tibia y/o peroné?
La tibia y el peroné son los huesos principales de la pierna, ubicados entre la rodilla y el tobillo. Una fractura en estos huesos puede deberse a:
- Golpes directos.
- Caídas.
- Movimientos forzados que causen torsión en la articulación de la rodilla o el tobillo.
- Lesiones por esfuerzo repetitivo, conocidas como fracturas por estrés.
Estas fracturas son comunes en deportes como el fútbol, donde también se consideran accidentes de trabajo si el deportista se encuentra registrado bajo relación laboral.
¿Qué incapacidad genera una fractura de tibia y peroné?
El porcentaje de incapacidad se determina según el Baremo de incapacidades, regulado por el Decreto 659/96. Este porcentaje varía según el tipo de fractura, la ubicación en el hueso afectado y las secuelas funcionales que queden.
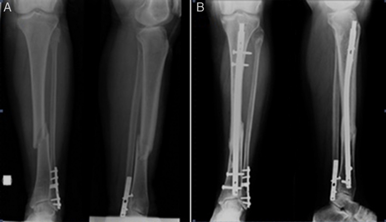
- Tibia: Las fracturas más comunes son las de meseta tibial, platillo tibial, fracturas diafisarias o de pilón tibial distal.
- Peroné: Pueden incluir fracturas del maléolo externo (fractura de tobillo) o fracturas bimalleolares si se afectan los dos maléolos.
En los casos más graves, como la pseudoartrosis (cuando los huesos no consolidan correctamente), el porcentaje de incapacidad puede alcanzar hasta un 40% en fracturas de tibia, y oscilar entre un 3% y un 12% en fracturas de peroné, según su ubicación.
Además, si la lesión afecta nervios como el ciático poplíteo externo, peroneo o tibial, se pueden sumar porcentajes adicionales debido a las alteraciones motoras y sensoriales que esto implica.
¿Cómo se trata una fractura de tibia y/o peroné?
El tratamiento varía según el tipo de fractura:
- Fracturas con desplazamiento: Generalmente requieren cirugía para alinear los huesos mediante el uso de clavos o placas metálicas.
- Fracturas sin desplazamiento: Se suelen tratar con inmovilización (férulas o yesos).
En ambos casos, es fundamental completar una rehabilitación kinesiológica para recuperar la funcionalidad de la pierna.
¿Cuánto se cobra por una fractura de tibia y/o peroné en el trabajo?
El monto de la indemnización depende de:
- El porcentaje de incapacidad: Según lo determinado por el Baremo.
- La edad del trabajador: Las indemnizaciones suelen ser mayores para los trabajadores jóvenes.
- El salario promedio mensual: Que se usa en el cálculo del resarcimiento.
Por eso, contar con un abogado especialista en accidentes laborales es clave para asegurarte de que se reconozcan todas las secuelas de la lesión y obtener una indemnización justa.
Te invitamos a utilizar nuestra Calculadora de Indemnización por Accidente de Trabajo, que te ayudará a estimar el monto de la indemnización que podrías recibir en tu caso.
Si necesitas más información o deseas realizar una consulta, escribínos por WhatsApp.
Tal vez te pueden interesar estos otros recursos

Calculadora de Indemnización por Accidente
Conocé rápidamente el monto de tu indemnización por accidente de trabajo o enfermedad profesional.
Calculá ahora ->


Escalas Salariales
Consulta las escalas salariales actualizadas de Argentina para conocer los salarios mínimos, remuneraciones de convenio y sueldos por sector.
Ver más ->